Skip to content

Pizza Time

  • Home
  • Recipes
  • Terms & Conditions
  • Privacy Policy

Recipes

Recipes

Si vous bavez la nuit en dormant, c’est un signe claire que..

Beaucoup de personnes se réveillent parfois avec l’oreiller légèrement humide ou remarquent qu’elles bavent pendant leur sommeil. Ce phénomène, appelé…

March 27, 2026
Recipes

Huile capillaire à l'aloe vera un soin naturel pour des cheveux forts et sains ?

Les soins capillaires naturels gagnent de plus en plus en popularité, car de nombreuses personnes recherchent des alternatives plus sûres et…

March 27, 2026
Recipes

L’ail peut tuer 14 infections différentes – Un puissant antibiotique naturel

Pourquoi l'ail est si puissant : Le secret de la puissance de l'ail réside dans un composé appelé allicine. Lorsqu'on…

March 27, 2026
Recipes

La bague que vous choisirez révélera votre trait le plus authentique…… En voir plus

Avez-vous déjà remarqué comme certaines bagues semblent presque « vous appeler » depuis une vitrine ? Comme si leur couleur,…

March 27, 2026
Recipes

ALERTE ! LE JUS DE BETTERAVE TUE LES CELLULES CANCÉREUSES EN 42 JOURS..

C’est incroyable, mais le jus de betterave tue les cellules cancéreuses, croyez-le ou non. Après avoir découvert tous les bienfaits…

March 27, 2026
Recipes

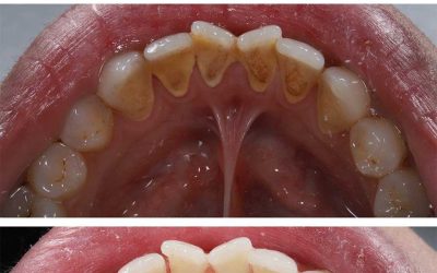
7 astuces pour se débarrasser des taches de tartre disgracieuses avec presque 0 travail.

Le tartre, aussi appelé tartre dentaire, est une forme durcie de plaque dentaire qui peut se former sur les dents…

March 27, 2026
Recipes

Voici pourquoi certaines personnes naissent avec ce petit trou juste au-dessus de l'oreille ?

Les mystères du corps sont parfois impénétrables. Et, pourtant, la médecine tente par tous les moyens de trouver des explications…

March 26, 2026
Recipes

Votre enfant est-il (vraiment) HPI ? Faites le test

Depuis la diffusion sur TF1 de la série HPI incarnée  de nombreux parents voient dans leur enfant une personne Avez-vous…

March 26, 2026
Recipes

Plus stylé qu’un jean ce pantalon Decathlon va devenir le nouveau basique tendance du printemps 2026

Longtemps indétrônable, le jean commence doucement à céder du terrain dès que les températures remontent. Au printemps, les envies changent…

March 26, 2026

Posts pagination

Previous 1 … 8 9 10 … 40 Next
Proudly powered by WordPress | Theme: Justread by GretaThemes.